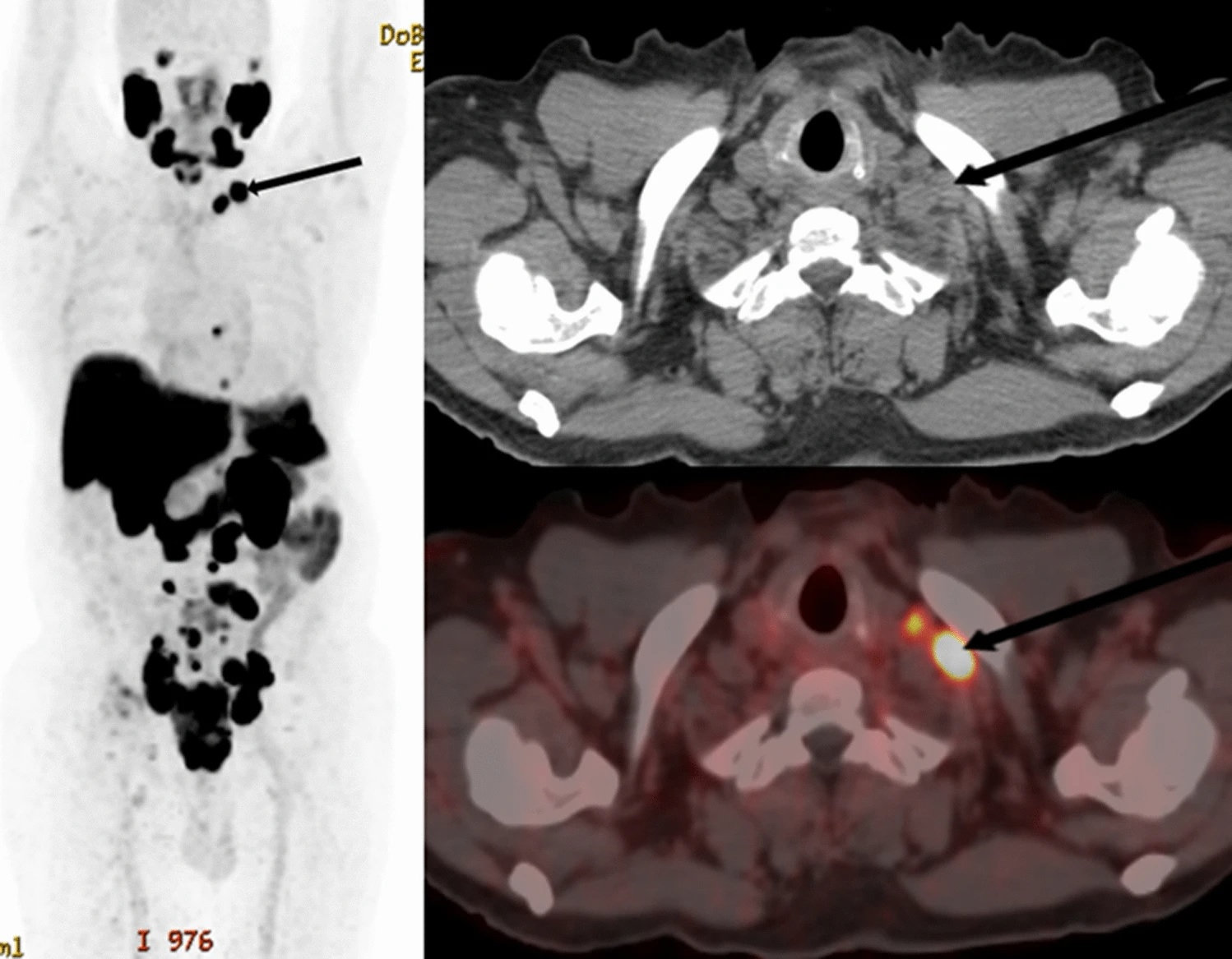
Our most highly-viewed story last week reported on the performance of PET/CT with a new fibroblast activation protein inhibitor (FAPI) imaging agent for detecting bone metastases. In a retrospective analysis of nearly 300 patients, gallium-68 (Ga-68) DOTA-FAPI-04 PET/CT yielded significantly better results than F-18 FDG PET/CT.
AuntMinnie members were also quite interested in our article on how the use of multivitamin supplements was not associated with mammographic breast density.
Several medical societies were disappointed that the continuing resolution (CR) to keep the U.S. government funded through the end of September did not include the “Doc Fix” to address the 2.83% Medicare physician payment cut. But there may be hope on the horizon, according to our coverage.
In other popular news this week, researchers have found that combining deep-learning radiomics and pathomics models could be useful for predicting recurrence of hepatocellular carcinoma (HCC). Also, giving platelet function tests to patients prior to treatment for brain aneurysms can reduce their chances of subsequent stroke.
Speaking of Medicare, a new column from Sandy Coffta of Healthcare Administrative Partners reviews the key changes for radiology practices in the 2025 Medicare Physician Fee Schedule.
We also caught up with Chris Corso, MD, PhD, government relations committee vice chair at the American Society for Radiation Oncology (ASTRO) to learn more about the importance of the Radiation Oncology Case Rate Program (ROCR) Act. And American Institute of Ultrasound in Medicine (AIUM) President Richard Hoppmann, MD, provided a preview of what to expect at the association’s upcoming annual conference in Orlando, FL.
See the list below for all of our top stories from the week.
- FAPI-PET superior to FDG-PET for detecting bone cancer
- Mammographic breast density not affected by multivitamins
- Medical societies sound off on reimbursement cuts not addressed in CR
- Deep learning plus MRI helps predict HCC recurrence
- Platelet function tests can improve outcomes for brain aneurysm patients
- What is the impact of the 2025 Medicare Fee Schedule changes on radiology?
- MRI identifies parts of the brain that remember words
- ASTRO vice chair highlights momentum for ROCR Act
- Do radiologists trust mammography AI software?
- AIUM president previews annual conference
- GE HealthCare, NVIDIA team up to develop autonomous AI
- Y-90 TARE improves survival in patients with large liver tumors
- Micro-ultrasound on par with MRI in predicting prostate tumor volume
- Radiologists less susceptible to visual illusions
Erik L. Ridley
Editor in Chief
AuntMinnie.com

















