Mature Mediastinal Teratoma
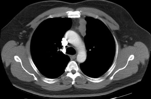
The case below is of a 9 year old girl that presented with an abnormal CXR. A large anterior mediastinal mass is demonstrated on the CT with macroscopic foci of fat attenuation. (Click image to enlarge)

The case below is of a 9 year old girl that presented with an abnormal CXR. A large anterior mediastinal mass is demonstrated on the CT with macroscopic foci of fat attenuation. (Click image to enlarge)
