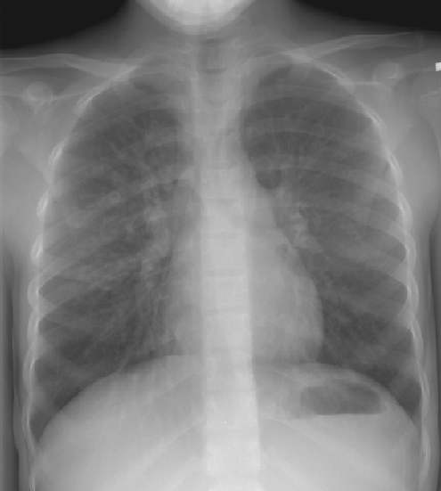
Dyskinetic Cilia Syndrome (Kartagener's Syndrome)
The patient below was an 8 year old boy who had repeated episodes
of sinusitis and recurrent upper respiratory infections. The chest
radiograph demonstrates both cardiac and abdominal situs inversus.
There is a left lingular infiltrate (best seen on the lateral
view). A sinus CT on this patients demonstrates evidence of pansinusitis
(Click here to view sinus CT).





