Dear Ultrasound Insider,
Ultrasound continues to be used in complex yet innovative ways. These include classifying disease severity, predicting risk, and differentiating between benign and malignant findings.
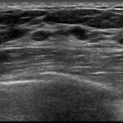
For example, researchers from Froedtert Hospital in Milwaukee, WI, found that morphologic features of axillary nodes on sonography are reliable indicators in predicting metastasis. Find out what these features are in this edition’s featured article.
In another example of innovation, a team from the Children’s Medical Center in Dallas reported that point-of-care ultrasound (POCUS) can assess and predict the severity of pediatric bronchiolitis in emergency settings. The group found that higher lung POCUS scores in this area are tied to increased respiratory support, longer hospital length of stay, and more acute status after an emergency department visit.
Across the Atlantic, researchers from the University of Amsterdam developed and tested a novel method using ultrasound videos to predict fetal birth weight. They highlighted that the method outperforms current algorithms and has comparable performance to that of clinicians.
In other news, Mustafa Hassan of Signify Research examines current trends in ultrasound, including pricing, vendors, and AI in the marketplace.
Plus, check out the following recent Ultrasound stories:
- Researchers from the University of Utah found that rural, older, and poorer children face barriers in obtaining an ultrasound exam for acute appendicitis.
- A team from Seattle Children’s Hospital posed as parents calling into hospitals and found that scheduling appointments for pediatric renal sonograms at urban institutions is more difficult than scheduling at rural institutions.
- A Japanese team developed a model that showed reliable performance for discriminating steatosis in patients with chronic liver disease.
- Researchers from Bern University Hospital in Switzerland described the use of POCUS in cave rescue operations.
Find more articles like these by regularly visiting the Ultrasound content section!


















