Right Pneumothorax with a Deep Sulcus Sign:
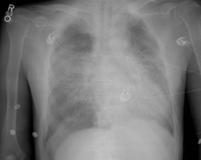
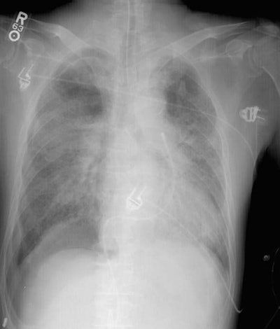
The images below are from a patient in the intensive care unit. The patient was admitted for radiation pneumonitis following radiation therapy for bronchogenic carcinoma. There is an endotracheal tube, and a Swan-Ganz catheter which was placed via a femoral venous approach.
On the initial film, the right costophrenic sulcus was cut off the film, but was suspicious for a "deep sulcus sign"- an indication of a pneumothorax in a supine patient. A repeat examination (below initial image) was performed which nicely demonstrated the "deep sulcus" on the right, as well as a pleural line in the right upper lung indicating that the pneumothorax had enlarged in the interval between the two films. This case demonstrates the need to include the costophrenic angles on all portable films.
Initial image:

Repeat exam:
The repeat exam demonstrates the "deep sulcus" on the right, as well as a pleural line in the right upper lung indicating that the pneumothorax had enlarged in the interval from when the initial film was performed.








