High-dose ablative radiotherapy can more than double survival for patients with very large intrahepatic cholangiocarcinoma (ICC) tumors, researchers in Houston have reported.
A team at the University of Texas MD Anderson Cancer Center found that patients with so-called supermassive bile duct tumors -- those exceeding 10 cm -- who received ablative radiotherapy (RT) combined with chemotherapy had a median overall survival of 28.7 months, compared with 11.9 months for patients treated with chemotherapy alone.
“Our ability to more precisely deliver higher doses of radiation has dramatically improved over the last 10 to 15 years to the point that we can now treat these tumors safely,” noted study leads Ethan Ludmir, MD, and Eugene Koay, MD, PhD, in a news release. The research was published April 2 in Clinical Cancer Research.
ICC tumors form in the bile ducts of the liver. Traditionally, patients with very large tumors were not treated with high-dose ablative RT due to safety concerns, such as damage to healthy liver tissue or adjacent structures such as the stomach and bowel, the authors explained. In addition, there also was a widespread belief that supermassive tumors were biologically different from smaller ones and that, even if radiation could achieve local control, it might not prolong survival, the authors noted.
To explore whether targeted ablative radiotherapy (RT) improves clinical outcomes in patients, the investigators compared data from 34 patients who received treatments combined with chemotherapy to data from 29 patients who received chemotherapy alone. The group also conducted molecular and histological analyses to compare biological characteristics of supermassive tumors with smaller tumors.
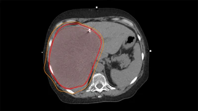
Sample radiation treatment plan demonstrating a "supermassive" right liver tumor with planned radiation "isodose lines" shown in bright red and orange.The University of Texas MD Anderson Cancer Center
The researchers also did comparisons on several biological aspects of these tumors and found they were not biologically different from smaller tumors, which supports the hypothesis that tumor size should not be a limiting factor in the use of radiation therapy, according to the authors.
“This study makes a compelling case that there is a very significant benefit from this approach,” Ludmir noted.
The authors acknowledged the retrospective design and the rarity of these tumors as study limitations, but argued the case series likely represents the best available evidence for this patient population. Prospective trials will be needed to confirm the findings, the group concluded.
The full study is available here.



















